Translate this page into:
Role of computed tomography in management of benign esophageal strictures

*Corresponding author: Khushdeep Singla, Department of Radiodiagnosis, Adesh Institute of Medical Sciences and Research, Bathinda, Punjab, India. singladoc85@gmail.com
-
Received: ,
Accepted: ,
How to cite this article: Singla K, Sidhu J. Role of computed tomography in management of benign esophageal strictures. Adesh Univ J Med Sci Res. 2025;7:143-9. doi: 10.25259/AUJMSR_27_2025
Abstract
Objectives:
The objective of the study is (1) to measure the length of esophageal strictures and wall thickness at the level of stricture on pre-treatment computed tomography (CT) scans, (2) to compare pre and post-treatment CT scan to evaluate the treatment response in the form of changes in stricture length and wall thickness, and (3) to evaluate the effect of intralesional mitomycin and triamcinolone in treatment of benign esophageal strictures. We have studied the role of CT scan in the management of benign esophageal stricture in 29 conservatively managed patients by determining the length of stricture and wall thickness of stricture in pre-management CT scan and in post-management CT scan.
Material and Methods:
Patients underwent multiple dilatation sessions with or without intralesional mitomycin or triamcinolone. Treatment response was assessed clinically (dysphagia grading) and radiologically (stricture length reduction or wall-thickness decrease on CT).
Results:
It was observed that the number of dilatations required is more in patients with wall thickness value more than 9 mm in comparison with patients with wall thickness <9 mm with P = 0.001. Furthermore, percentage of patients achieving reduction in esophageal wall thickness more than 25% is high inpatient group managed by dilatations and intralesional triamcinolone, followed by the group of patients managed by dilatations and intralesional mitomycin, followed by patient group managed by dilatations alone.
Conclusion:
Hence, CT helps in predicting the number of dilatations required in benign esophageal strictures and guides management.
Keywords
Computed tomography
Esophageal dilatations
Esophageal strictures
Radiology
INTRODUCTION
Esophageal strictures are circumscribed narrowing of the esophageal lumen, leading to difficulty in swallowing of either solids or liquids or both.[1] There are various etiologies of esophageal strictures, including benign and malignant with benign strictures being more common. Ruigomez et al. reported the incidence of esophageal stricture of 1.1/10,000 person-years, which seems to increase with age, and among these strictures, the incidence of peptic strictures was 0.8/10,000 person-years.[2,3] Gastroesophageal reflux disease (GERD) is the most common cause of benign stricture, accounting for 70–80% of esophageal strictures.[4]
The two main diagnostic tools for the evaluation of esophageal pathologies include esophagography and endoscopy. Endoscopic ultrasonography is another recent modality which has a significant role in evaluating the depth of invasion of the esophageal wall in malignant esophageal lesions and assists in performing fine needle aspiration sampling of involved locoregional lymph nodes.[5]
In the present modern era, computed tomography (CT) is another commonly employed imaging technique which is performed for the evaluation of a variety of intrathoracic and abdominal pathologies. There are some reports that suggest the role of CT in the assessment of esophageal and stomach wall damage in patients of corrosive ingestion. In anecdotal reports, CT has also been shown to help in predicting stricture formation in patients of corrosive ingestion. Some studies have shown the role of CT in guiding the management of corrosive esophageal strictures by evaluating esophageal wall thickness.
From the management perspective, most of the patients with benign esophageal strictures caused by GERD, infectious ulcers, or eosinophilic esophagitis are managed medically. Rest of the patients with benign esophageal strictures are managed mainly by dilatation endoscopically. Some of the strictures are managed by single session of dilatation while others may need multiple sessions of dilatation. The strictures showing no significant clinical response to multiple sessions of endoscopic dilatation may be managed by intralesional steroid or chemotherapeutic agents like mitomycin. Still, refractory cases are further referred for surgical management.
Self-expanding stents have also been used as treatment option which acts by exerting radial force on the stricture and make the esophageal lumen patent. Self-expanding plastic stents are good options compared to self-expanding metal stents. Corrosive esophageal strictures not responding to dilatations are managed by esophagectomy[6-8] with a mortality rate <1%.[8] Gastric conduit is preferred for replacing the esophagus or colonic conduit is used if the stomach cannot be used. Some studies have shown the role of CT in guiding the management of corrosive esophageal strictures by evaluating esophageal wall thickness.[9,10]
The purpose of the present study was to see the role of CT scan in the management of benign esophageal strictures on the basis of esophageal wall thickness (on CT) in predicting the clinical course and number of sessions required for dilatation and response to dilatations or subsequent referral for surgical management in potentially refractory cases.
MATERIAL AND METHODS
This prospective analytical study was conducted in Department of Radiology, Post Graduate Institute of Medical Sciences and Research (PGIMER), Chandigarh, in a period of 1.5 year from June 2016 to June 2017 where 32 patients with post-corrosive dysphagia, dysphagia with heartburn, or suspected peptic esophageal stricture using barium swallow (performed on Shimadzu Sonialvision G4 machine), CT scan (128 slice CT scanner-Somatom Definition Flash), and endoscopy (gold standard) with Olympus endoscope were observed. Esophageal strictures on CT were defined as luminal narrowing with wall thickness >5 mm. Patients underwent multiple dilatation sessions with or without intralesional mitomycin or triamcinolone. Treatment response was assessed clinically (dysphagia grading) and radiologically (stricture length reduction on barium swallow or wall thickness decrease on CT). Non-responders were those with persistent symptoms despite 5–6 dilatation sessions.
Exclusion criteria for this study included patients with strictures involving post-operative anastomotic sites and those with malignant esophageal strictures. Patients with contraindications to intravenous contrast administration and those who had absolute dysphagia were also excluded. Individuals who did not provide consent for participation in the study were not included in the study.
CT scanning methods
A Siemens workstation was used for image interpretation. Reconstructed images were viewed on the “syngo.via” workstation.
Arterial phase and venous phase images were obtained at 35 and 60s and delayed phase at 6–8 min after contrast. Neutral oral contrast was used for distension of the esophagus. Approximately 1.2 mL/kg of i.v contrast was injected with a flow rate of 2.5 mL/s.
The absorbed radiation dose in each patient was recorded in terms of dose length product (DLP) which was calculated using a predictive model based on a body dosimetry phantom. The effective radiation dose was calculated as the product of DLP with a weighting factor (0.018 mSv/Gy.cm).[11]
Statistical analysis
The statistical analysis has been conducted using IBM Statistical Package for the Social Sciences Statistics (version 22.0). Chi-square and Mann–Whitney tests are applied to compare the effect of drugs. All the statistical tests performed were two-sided at a significance level of a = 0.05 (P-value).
RESULTS
In this study of 32 patients, 12 patients (37.5%) were of corrosive ingestion, out of which 9 (28.1%) were of acid ingestion, 2 (6.3%) were of adulterated alcohol, and 1 (3.1%) with alkali ingestion. One patient (3.1%) was of celphos poisoning, 1 (3.1%) with CREST syndrome, 4 (12.5%) were drug induced, 1 (3.1%) of tubercular esophagitis, and 13 (40.6%) of peptic stricture.
Role of CT in evaluation of treatment
In this study, out of 32 patients, 29 were managed conservatively, two patients underwent surgery and one underwent stenting for iatrogenic perforation secondary to dilatation. Out of 29 patients managed conservatively, 12 patients were managed with dilatation alone and intralesional mitomycin was used in six patients and triamcinolone in 11 patients.
Out of all 29 patients, 20 (68.96%) had maximum esophageal wall thickness <9 mm and 9 patients (31%) showed wall thickness >9 mm. Patients with maximum wall thickness <9 mm (n = 20) required 3.95 + 2.3 mean number of dilatations (P = 0.007) while patients with wall thickness >9 mm (n = 9) needed 7.22 + 3.7 mean number of dilatations. Hence, patients with esophageal wall thickness (EWT) >9 mm required a greater number of dilatations compared to patients with EWT <9 mm [Table 1].
| Wall thickness on CT | n(Number of patients) | Mean number of sessions of dilatation | Standard deviation | P-value |
|---|---|---|---|---|
| <9 mm | 20 | 3.95 | 2.328 | 0.007 |
| >9 mm | 9 | 7.22 | 3.734 | 0.007 |
CT: Computed tomography
To exclude the confounding factor of intralesional drug, we have compared the patients managed with dilatations alone. Out of 29 managed conservatively, 12 patients were managed only with dilatations alone. Out of these patients, 11 patients (91.67%) were with wall thickness <9 mm and 1 patient (8.33%) with wall thickness ≥9 mm. Mean number of dilatations required for patients with wall thickness <9 mm is 2.5 and for patients with wall thickness >9 mm is 8. Hence, the mean number of dilatations required is more in patients with wall thickness value >9 mm with P = 0.001 (significant) [Table 2].
| Wall thickness on computed tomography | Drug given/not given | n(Number of patients) | Mean number of dilatations | Standard deviation | P-value |
|---|---|---|---|---|---|
| <9 mm | No drug | 11 | 2.55 | 1.036 | 0.001 |
| Drug given | 9 | 5.67 | 2.345 | ||
| >9 mm | No drug | 1 | 8.00 | 1.0 | |
| Drug given | 8 | 7.13 | 3.980 |
Among 29 patients managed conservatively, there were 20 patients who achieved more than 25% reduction in EWT post-management. 12 patients of all were managed with dilatations alone and 17 patients were managed with dilatation and intralesional drug administration. Among the 12 patients managed with dilatations alone, seven patients (58.3%) achieved a reduction in wall thickness more than 25%, while out of 17 patients managed with dilatation and intralesional drugs, 13 patients (76.5%) achieved reduction in post-management wall thickness more than 25% [Table 3].
| Reduction in esophageal wall thickness | Conservative management | Total | |
|---|---|---|---|
| Dilatation alone | Dilatations with drug | ||
| ≥25% | |||
| Number of patients | 7 | 13 | 20 |
| Percentage | 58.3 | 76.5 | 69.0 |
| <25% | |||
| Number of patients | 5 | 4 | 9 |
| Percentage | 41.7 | 23.5 | 31.0 |
| Total | |||
| Count | 12 | 17 | 29 |
EWT: Esophageal wall thickness, CT: Computed tomography
Among the 12 patients managed with dilatations alone, seven patients (58.3%) achieved more than 25% reduction in EWT. Out of six patients managed with dilatations and intralesional mitomycin, four patients (66.7%) achieved reduction in EWT more than 25% while out of 11 patients managed with dilatations and intralesional kenacort. Nine patients (81.8%) achieved more than 25% reduction in EWT.
Hence, the percentage of patients achieving a reduction in EWT of more than 25% is high in the patient group managed by dilatations and intralesional triamcinolone, followed by the group of patients managed by dilatations and intralesional mitomycin, followed by the patient group managed by dilatations alone. However, the P-value is not statistically significant (P = 0.473) [Table 4].
| Reduction in esophageal wall thickness | Conservative management | Total | ||
|---|---|---|---|---|
| Dilatations alone | Dilatations with Mitomycin | Dilatations with Triamcinolone | ||
| <25% | ||||
| Number of patients | 5 | 2 | 2 | 9 |
| Percentage | 41.7 | 33.3 | 18.2 | 31.0 |
| ≥25% | ||||
| Number of patients | 7 | 4 | 9 | 20 |
| Percentage | 58.3 | 66.7 | 81.8 | 69.0 |
| Total | ||||
| Number of patients | 12 | 6 | 11 | 29 |
| Percentage | 100.0 | 100.0 | 100. | 100.0 |
A 67-year-old male patient presented with benign peptic stricture. Computed tomography is done with formation of multiplanar views to see the site and extension of oesophageal stricture and to measure the wall thickness at the level of stricture. Figure 1a shows pre management computed tomography sagittal view showing concentric wall thickening for a segment of 4.2 cm denoted by yellow line. Figure 1b shows coronal view of computed tomography showing supra stenotic cone shaped dilatation proximal to stricture. Barium swallow was done which shows short segment luminal narrowing in lower thoracic oesophagus suggestive of stricture . Figure 2a shows Barium swallow lateral oblique view showing short segment luminal narrowing in lower thoracic oesophagus presented as yellow line and red dots. Figure 2b shows barium swallow antero-posterior view showing short segment luminal narrowing in lower thoracic oesophagus marked as blue line.

- (a) A 67-year-old male patient presenting with peptic stricture in the lower thoracic esophagus. Pre-management computed tomography sagittal oblique view showing concentric wall thickening for a segment of 4.2 cm denoted by yellow line. (b) Coronal oblique view showing suprastenotic cone-shaped dilatation showed by red arrow.

- (a) Red dots and yellow line shows Stricture (b) Blue line denotes short segment stricture.
Figure 3 shows computed tomography axial section showing increased wall thickness at the level of stricture measuring 10 mm denoted by yellow line.

- Pre-management computed tomography. Axial section at the level of stricture shows wall thickness of 10.5 mm denoted by yellow line.
Figure 4 shows pre management endoscopy image at the site of stricture showing ulcerated mucosa.

- Pre-management endoscopy image confirming stricture with ulcerated mucosa denoted by yellow arrow.
The patient underwent multiple sessions of endoscopic oesophageal dilatations followed by computed tomography and barium swallow.
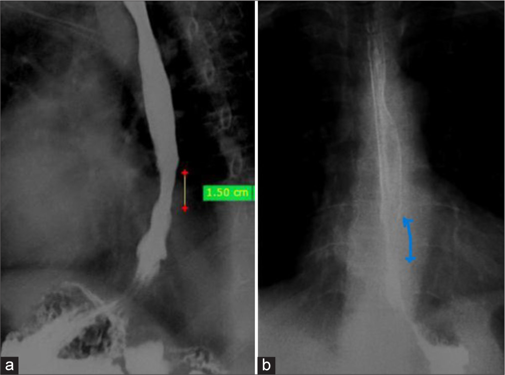
Figure 5a shows post management computed tomography axial section showing reduced oesophageal wall thickness measuring 5 mm at the site of stricture.

- (a) Post-management computed tomography (CT). Axial section showing reduced esophageal wall thickness (5 mm) (red arrow). (b) Post-management barium swallow Antero-posterior (AP) view showing no stricture, however hiatus hernia was seen as denoted by red arrow. (c) Post-management CT sagittal oblique views showing reduced length of stricture to 1.5 cm with minimal luminal narrowing denoted by yellow line.
Figure 5b shows post management barium swallow antero-posterior view with no residual luminal narrowing.
Figure 5c shows postop management computed tomography sagittal oblique view showing reduced length of stricture in lower thoracic oesophagus measuring 1.5 cm with minimal luminal narrowing denoted by yellow line.
DISCUSSION
Esophageal stricture is the stenosis of esophagus, which commonly presents with dysphagia and results from thickening of the esophageal wall, causing its luminal narrowing. The normal value of esophageal wall thickness on CT is generally <3–5 mm in the distended state. The wall thickness may be increased due to various underlying etiologies, which may be benign or malignant, causing stricture formation.
Different etiologies of esophageal strictures can be benign or malignant. Benign causes are more common among which GERD is the most common cause of benign stricture, accounting for 70–80% of esophageal strictures.[4] The most common symptom of esophageal stricture is dysphagia, and other symptoms are vomiting and aspiration of food particles.
In the current study, patients with corrosive and non-corrosive etiology were included, showing the effect of mitomycin in augmentation of dilatations with more percentage of patients showing good response (>25% reduction in EWT). In a study by Bartel et al,[12] nine patients with benign esophageal strictures were included in the study with mean length of strictures of 13.75 mm and mean number of dilatations of 10.7 over a median of 8 months (1.5 dilations/month). The number of dilatations per month required decreased to 0.39 over a period of 10 months after topical mitomycin application. The dysphagia score was also improved after mitomycin application, thus showing augmentation of dilatation by mitomycin.[12]
In a study by Sweed et al.,[13] 30 patients with corrosive esophageal strictures were included and were divided into two groups first including 12 patients and the second group with 18 patients and mitomycin was applied topically in the second group along with dilatation. On comparing the post-management dysphagia, there was significant improvement found in dysphagia in mitomycin-treated group as compared to other groups with P = 0.005. Total number of dilatations required was less in group treated with topical mitomycin compared to the first group; however, the results were insignificant.[13] Similarly, in the current study, patients managed with mitomycin show good response (>25% reduction in EWT) in high percentage of patients compared to patients managed with dilatations alone.
In another study, Kochhar and Makharia studied the effect of triamcinolone in augmenting the dilatation of benign strictures of the esophagus and reported a reduction in periodic dilatation index from 1.24 before triamcinolone injection to 0.5 after triamcinolone injection and an increase in mean maximum esophageal dilatation achieved from 13.4 mm before to 14.8 mm after triamcinolone injection. Hence, they concluded that intralesional triamcinolone (Kenacort) augments the effect of dilatation in patients with benign esophageal strictures.[14]
In a study by Nijhawan et al.,[15] 14 patients with corrosive esophageal stricture were included and bougie dilatation was performed along with intralesional triamcinolone for 5 weeks, and subsequent dilatations were done as per demand. The study found that there was improvement of dysphagia score from 3.54 ± 0.52 to 0.45 ± 0.52 (P < 0.001), concluding that triamcinolone is effective for significant dilatation and improving dysphagia.[15]
CONCLUSION
The present study observed that patients with esophageal wall thickness more than 9 mm require a greater number of sessions of dilatation compared to the patients with esophageal wall thickness <9 mm. Hence, CT helps in predicting the number of dilatations required in patients of benign esophageal stricture and guides management of benign esophageal strictures.
This study observed that the percentage of patients showing good response to conservative management is more in the group of patients managed with dilatations along with triamcinolone, followed by group of patients managed with dilatations along with mitomycin, followed by patients managed by dilatations alone with p-value statistically insignificant, hence concluding that CT helps in accurate radiological assessment of the treatment response, thereby aiding in management decisions.
Ethical approval:
The research/study approved by the Institutional Review Board at the Institutional Ethics Committee, Post Graduate Institute of Medical Sciences and Research (PGIMER), Chandigarh, number INT/IEC/2016/2092, dated 06th June 2016.
Declaration of patient consent:
The authors certify that they have obtained all appropriate patient consent.
Conflicts of interest:
There are no conflicts of interest.
Use of artificial intelligence (AI)-assisted technology for manuscript preparation:
The authors confirm that there was no use of artificial intelligence (AI)-assisted technology for assisting in the writing or editing of the manuscript and no images were manipulated using AI.
Financial support and sponsorship: Nil.
References
- Value of two-phase dynamic multidetector computed tomography in differential diagnosis of post-inflammatory strictures from eoesophageal cancer. World J Gastroenterol. 2015;21:8878-87.
- [CrossRef] [PubMed] [Google Scholar]
- A review of endoscopic methods of esophageal dilation. J Clin Gastroenterol. 2002;35:117-26.
- [CrossRef] [PubMed] [Google Scholar]
- Esophageal stricture: Incidence, treatment patterns, and recurrence rate. Am J Gastroenterol. 2006;101:2685-92.
- [CrossRef] [PubMed] [Google Scholar]
- Natural history of benign esophageal stricture treated by dilatation. Gastroenterology. 1983;85:346-50.
- [CrossRef] [PubMed] [Google Scholar]
- Role of endoscopic ultrasonography (EUS) in management of benign esophageal strictures. Ann Gastroenterol. 2011;24:280-4.
- [CrossRef] [PubMed] [Google Scholar]
- Outcome following surgical management of corrosive strictures of the esophagus. Ann Surg. 2011;254:62-6.
- [CrossRef] [PubMed] [Google Scholar]
- Colon interposition in the treatment of esophageal caustic strictures: 40 years of experience. Dis Esophagus. 2007;20:530-4.
- [CrossRef] [PubMed] [Google Scholar]
- Management of corrosive esophageal burns in 149 cases. J Thorac Cardiovasc Surg. 2005;130:449-55.
- [CrossRef] [PubMed] [Google Scholar]
- Intralesional steroid injection therapy in the management of resistant gastrointestinal strictures. World J Gastrointest Endosc. 2010;2:61-8.
- [CrossRef] [PubMed] [Google Scholar]
- Esophageal anastomotic strictures: Outcomes of endoscopic dilation, risk of recurrence and refractory stenosis, and effect of foreign body removal. Clin Gastroenterol Hepatol. 2015;13:263-71.e1.
- [CrossRef] [PubMed] [Google Scholar]
- Benign esophageal strictures in infants and children: Results of savary-gilliard bougie dilation in 107 Indian children. Gastrointest Endosc. 2001;54:480-4.
- [CrossRef] [PubMed] [Google Scholar]
- Topical mitomycin C application in the treatment of refractory benign esophageal strictures in adults and comprehensive literature review. Dig Liver Dis. 2016;48:1058-65.
- [CrossRef] [PubMed] [Google Scholar]
- A prospective controlled study to assess the use of mitomycin C in improving the results of esophageal dilatation in post corrosive esophageal stricture in children. Int J Pediatrotorhinolaryngol. 2015;79:23-5.
- [CrossRef] [PubMed] [Google Scholar]
- Usefulness of intralesional triamcinolone in treatment of benign esophageal strictures. Gastrointest Endosc. 2002;56:829-34.
- [CrossRef] [PubMed] [Google Scholar]
- Aggressive bougie dilatation and intralesional steroids is effective in refractory benign esophageal strictures secondary to corrosive ingestion. Dis Esophagus. 2016;29:1027-31.
- [CrossRef] [PubMed] [Google Scholar]
